パーフェクトクリーニングblog
今回は歯のクリーニング【パーフェクトクリーニング】をご紹介したいと思います。
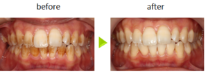
パーフェクトクリーニングとは、歯全体のクリーニングのことです。
まず①歯肉ポケット内の洗浄をし、②歯の着色、バイオフィルムの除去、③面のトリートメントを行ってまいります。
①ポケット洗浄
機械で歯肉ポケット内の汚れを洗浄します。
②バイオフィルム、ステイン(着色)除去
水と抗菌作用のあるパウダーを歯に吹き付け、歯の表面に付着したバイオフィルム、しつこいタバコのヤニ、コーヒーやお茶、紅茶、赤ワインなどの着色汚れを、歯を傷つけることなく機械で吹き飛ばして落としていきます。ホワイトニング効果はありませんが、使用後はご自身の本来の歯の白さがよみがえります。

③歯のトリートメント
ナノ粒子ハイドロキシアパタイトを配合したペーストを使い、歯の表面についたミクロな傷を埋め、歯を補修します。歯の表面の滑らかさを回復し、プラークや色素が歯面につきにくくなります。コーヒーや紅茶などをよく召し上がる方は、着色のつきにくさをよりご実感頂けると思います。

